高原环境对人类适应能力提出严峻挑战,尤其是低海拔人群迁移到高原后,容易出现慢性高原病。心肌损伤往往不可逆,而高原低压缺氧环境容易诱发心肌细胞损伤,导致心肌病和心功能衰竭。然而,目前对高原心肌损伤的早期信号通路和保护策略的认识存在巨大空白。
血浆蛋白质组学可以反映心血管系统的生理状态,为高原心肌损伤的病理生理机制研究提供新思路。2025年4月,军事医学研究院高月/周维团队与上海交通大学吕海涛团队在组学期刊Genomics Proteomics Bioinformatics(IF = 11.5)上发表题为“Plasma Proteomic Profiling Reveals ITGA2B as A Key Regulator of Heart Health in High-altitude Settlers”的最新研究,对从低海拔迁移到高原的低地人群进行血浆蛋白质组学分析,探究慢性低压缺氧导致心肌损伤的分子机制,并寻找潜在的治疗靶点和药物。
高原心肌异常迁移者血浆蛋白质组学分析
研究招募了134名低地人群(出生并成长于海拔2000米以下的人群),分为平原对照组(P_N,n=30)与迁移至4500米高原组(n=104);对于迁移至4500米高原组(n=104),进一步地根据血清中肌酸激酶同工酶水平将其分为高原心肌正常组(H_N,n=73)与高原心肌异常组(H_A,n=31)。
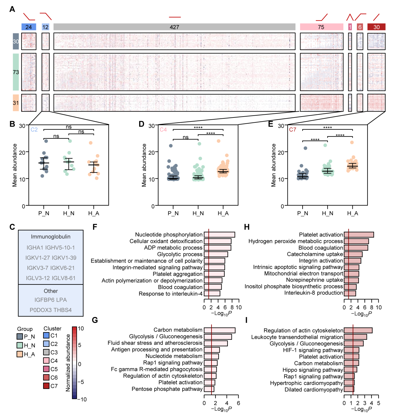
对这134份血浆样本进行蛋白质组学(DIA)分析,成功构建了高原心肌损伤的全面血浆蛋白质组学图谱,共鉴定出963个蛋白质组,蛋白质定量信息跨越7个数量级。三组共有蛋白质数目为659个,其中高原心肌异常组独有蛋白质数目最多(134个);慢性缺氧所导致的心肌损伤会显著扰乱血浆蛋白质组结构。

图1 平原对照组与高原组血浆蛋白质组学特征概览
高原心肌异常迁移者血浆蛋白质组学分析
根据定量信息缺失值比例(<25%)筛选出575个蛋白质,以进一步比较三组间蛋白质表达水平的差异。差异分析表明,高原心肌正常组与平原对照组之间存在61个差异表达蛋白,高原心肌异常组与高原心肌正常组之间存在118个差异表达蛋白,高原心肌异常组与平原对照组之间存在193个差异表达蛋白。
血小板活化、糖酵解过程、氧化应激和碳代谢的富集显著性在组间比较中呈递增趋势:高原心肌正常组vs.平原对照组<高原心肌异常组vs.高原心肌正常组<高原心肌异常组vs.平原对照组,进一步提示高原心肌异常组存在心脏相关功能障碍。
根据蛋白质丰度将575个蛋白质分为7簇,不同簇的蛋白质在三组中呈现不同的上下调模式。为了识别高原心肌异常组中特有的异常蛋白质,重点关注第2簇/第4簇/第7簇蛋白质,这些蛋白质在高原心肌异常组中存在上调或下调趋势。第2簇蛋白质在高原心肌异常组中下调,主要为免疫球蛋白。第4簇/第7簇蛋白质在高原心肌异常组中上调;功能富集分析显示,第4簇/第7簇蛋白质主要富集于能量代谢、炎症反应和凝血相关通路,如糖酵解过程、整合素介导的信号通路、血液凝固以及线粒体电子传递等生物学过程;这些功能与心肌损伤密切相关,进一步提示具有上调趋势的蛋白质可能在高原心肌损伤中发挥重要作用。

图2 三组间蛋白质丰度存在明显差异
上调蛋白与居住时间和心肌酶的相关性分析
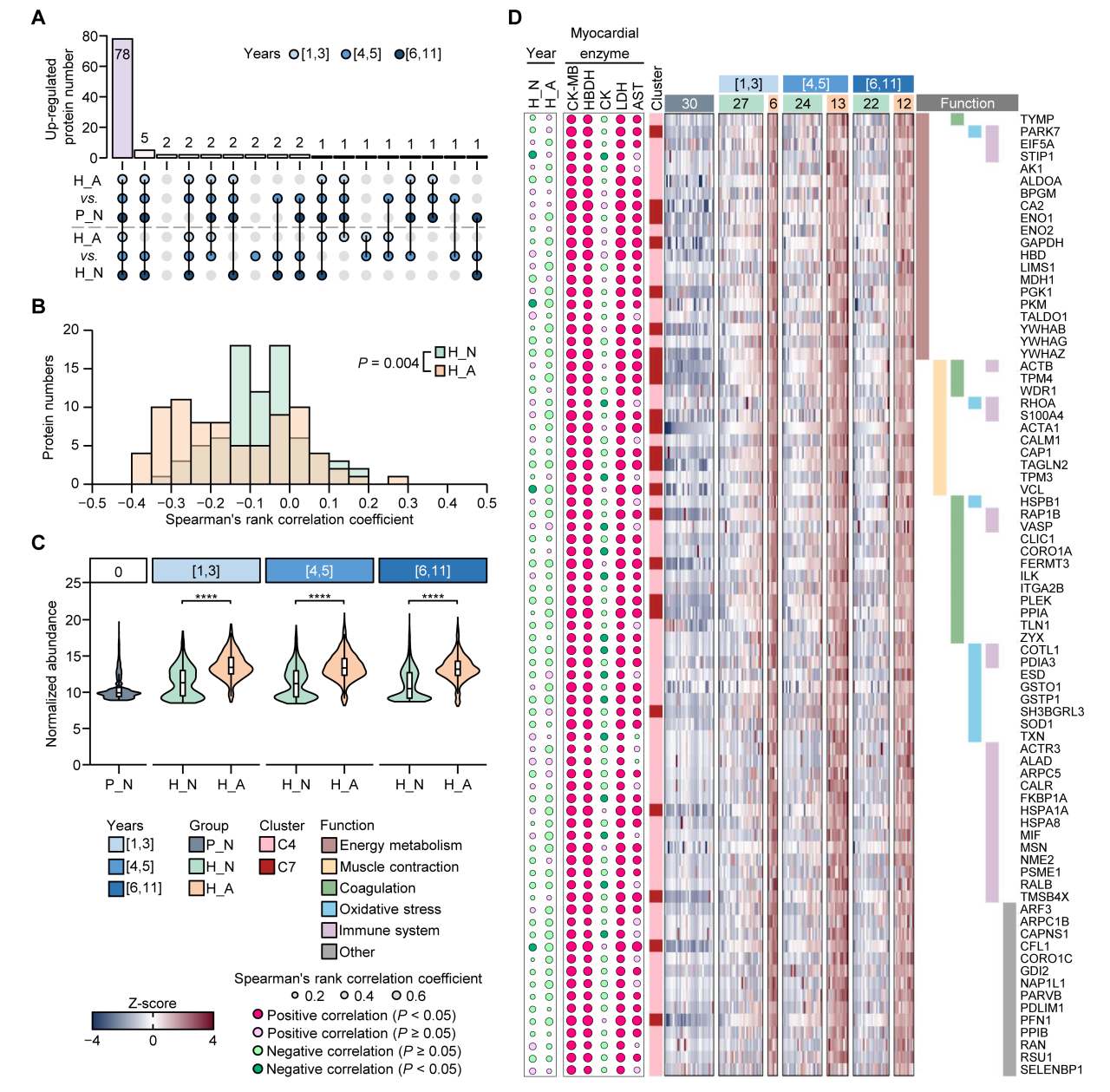
为探究高原移居时间对心肌损伤的影响,研究根据高原停留时间划分为三个阶段:1-3年/4-5年/6-11年。第4簇/第7簇绝大多数蛋白质(78种,占比74.3%)在各时间阶段均存在显著差异,78种蛋白质的表达水平与高原停留时间呈弱负相关趋势。随着停留时间延长,高原心肌异常组中异常高表达的蛋白质可能呈现轻微下调趋势。功能富集分析显示,78种蛋白质主要富集于能量代谢、肌肉收缩、凝血、氧化应激及免疫相关通路。
研究表明,高原心肌损伤人群中的上调蛋白在移居初期即已呈现高表达特征;随着移居时间延长,其表达水平可能因机体适应性调节而轻微下调。

图3 高原心肌异常组中失调的蛋白质具有多重功能特性
高原心肌损伤关键蛋白的筛选与验证
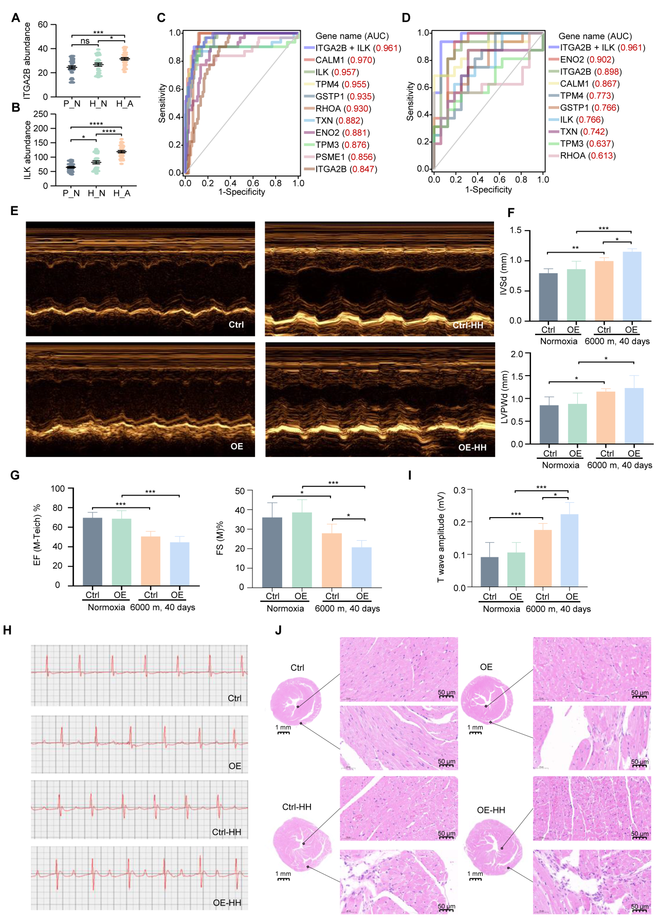
关注与心肌损伤相关的异常表达蛋白富集通路,包括正常生理过程(糖酵解、血小板活化和免疫系统)以及两种疾病通路(流体剪切应力与动脉粥样硬化、肥厚型心肌病/扩张型心肌病)。这些蛋白质含量的扰动主要源于慢性缺氧暴露,且高原心肌异常组的差异表达蛋白与高原心肌正常组相比普遍进一步升高。在上述通路中,共鉴定出10种差异表达蛋白,包括CALM1、ENO2、GSTP1、ITGA2B、ILK、PSME1、RHOA、TPM3、TPM4、TXN,在不同高原居住时长中均呈现显著差异。
酶联免疫吸附试验表明,ITGA2B与ILK在高原心肌异常组中显著上调。ITGA2B参与ss多种病理生理过程,包括血小板活化、血压调节和肥厚型心肌病。基于上述差异表达蛋白及ITGA2B–ILK信号轴,构建了高原心肌正常组与高原心肌异常组人群的预测模型,发现ITGA2B–ILK信号轴展现出卓越的分类效能。为了验证ITGA2B–ILK的区分能力,建立了独立队列(高原心肌正常组,n=16;高原心肌异常组,n=16);基于平行反应监测(PRM)靶向定量10种差异表达蛋白,结果显示ITGA2B–ILK信号轴具有最佳分类效果。

图4 与心肌损伤相关的关键通路中失调蛋白质受到高原环境影响
ITGA2B(整合素α-IIb)过表达加重长期缺氧导致的心脏损伤
研究人员构建了心肌特异性过表达ITGA2B的小鼠模型,在常氧条件下,ITGA2B过表达对小鼠心脏超声心动图参数无显著影响;然而,经40天低压缺氧处理后,过表达组出现显著病理改变:室间隔舒张末期厚度和左室后壁舒张末期厚度显著增加。过表达组小鼠心脏短轴缩短率下降更为显著;心电图分析显示,低压缺氧对照组T波振幅升高,而过表达缺氧组T波振幅增幅更为显著,提示ITGA2B过表达在缺氧条件下可导致心功能异常并加重心肌肥厚。病理学观察显示过表达缺氧组小鼠心脏颜色加深、体积增大,心脏器系数显著升高;HE染色显示其右心室乳头肌细胞肥大、微血管增生,并出现微血栓形成和炎性细胞浸润。
细胞实验表明,缺氧条件下过表达ITGA2B的AC16细胞分泌肌酸激酶同工酶MB水平显著升高;蛋白质组学分析显示,ITGA2B过表达主要影响缺氧条件下的蛋白表达谱,而主成分分析可明显区分常氧与缺氧处理的对照组和过表达组细胞。ITGA2B过表达在常氧条件下对心肌细胞表型的影响有限,但在缺氧条件下可显著改变心肌细胞特性,加剧心脏结构与功能损伤。

图5 ITGA2B过表达加剧慢性缺氧暴露下小鼠心脏的结构和功能损伤
ITGA2B过表达加重炎症反应与代谢紊乱
在缺氧条件下的ITGA2B过表达细胞中,转录相关蛋白IPO8和HIST2H3A以及NF-κB信号通路相关蛋白MT2A显著高表达;细胞核内p65发生聚集。在缺氧条件下的ITGA2B过表达细胞及心脏组织中,磷酸化IκBα水平显著升高;进一步实验显示,ITGA2B过表达可显著提升缺氧条件下细胞和心脏组织中磷酸化ILK及p65蛋白水平。通过检测早期缺氧阶段白细胞介素6(IL-6)mRNA水平的上调,证实NF-κB转录活性的增强;然而随着缺氧时间延长,IL-6的mRNA水平呈现下降趋势,可能与负反馈调节机制有关。
血浆蛋白质组学数据显示,高原心肌异常组糖酵解相关蛋白表达上调。细胞糖酵解速率检测发现,ITGA2B过表达显著提高基础糖酵解水平;葡萄糖摄取实验表明,缺氧条件下ITGA2B过表达显著促进细胞对葡萄糖的摄取;乳酸含量和ATP水平的变化进一步证实,ITGA2B过表达通过加剧缺氧状态下能量代谢由氧化磷酸化向糖酵解转变,从而加重细胞代谢紊乱。

图6 ITGA2B过表达加剧缺氧引起的炎症反应以及能量代谢紊乱
丹参酮ⅡA(TanⅡA)改善ITGA2B异常高表达引起的高原心脏损伤
丹参酮ⅡA因其在心血管疾病治疗中的广泛应用引起了研究人员的关注。研究发现,丹参酮ⅡA治疗显著改善过表达缺氧组和对照缺氧组小鼠的心脏超声检测结果;具体表现为室间隔舒张末期厚度和左室后壁舒张末期厚度显著降低,同时丹参酮ⅡA提高了两组小鼠心脏的射血分数和缩短分数。HE染色结果显示,经丹参酮ⅡA干预后过表达缺氧组和对照缺氧组心脏的病理损伤得到显著缓解;Masson染色结果显示,两组小鼠右心室纤维化面积减少;心电图结果表明,丹参酮ⅡA有效降低了心脏T波振幅;提示丹参酮ⅡA能够缓解ITGA2B过表达引发的高原心脏结构与功能损伤。
机制研究显示,丹参酮ⅡA降低了p65蛋白水平,与炎症因子含量降低趋势一致;治疗后磷酸化ILK和ITGA2B水平下降,进一步支持ITGA2B-ILK与NF-κB p65的调控关系。分子动力学模拟和细胞热转移实验进一步验证丹参酮ⅡA与ITGA2B的直接结合。

图7 丹参酮ⅡA能够减轻由ITGA2B过表达所致的在长期缺氧环境下引起的心脏结构和功能损伤
研究结论
本研究招募了134名低地人群作为研究队列,并对其血浆样本进行了蛋白质组学分析;在高原心肌异常组中发现一组显著上调的蛋白质,其中ITGA2B和ILK参与多种生物学过程,且对高原心肌异常组与高原心肌正常组具有显著区分效应。研究进一步揭示了ITGA2B通过增强心脏组织中NF-κB的转录活性诱导心脏炎症的全新机制,这一机制会加剧慢性缺氧引发的心脏负荷过重。此外,研究发现丹参酮IIA能够缓解慢性缺氧下ITGA2B异常高表达导致的心脏功能损伤。这些发现不仅阐明了ITGA2B在缺氧条件下对心脏的损害效应及其潜在分子机制,还为丹参酮IIA作为靶向拮抗缺氧性心肌异常的新型候选药物提供理论依据。
青莲百奥体液蛋白质组学
青莲百奥针对血液蛋白质组研究瓶颈,基于“蛋白冠”及Vorman效应,独家推出专利产品低丰度蛋白富集磁珠试剂盒(MagicOmics DMB),搭配自动化样本前处理机器人,极大地优化精简样本前处理流程。针对队列标志物筛选、风险预测、患者分型分析需求,青莲百奥独家推出疾病标志物筛选、预后标志物筛选、分子分型高级分析报告。步骤虽繁必不敢省人工,试剂虽贵必不敢减物力,青莲百奥助您在科研的海洋中乘风破浪。


参考文献
[1] Wang Y, Shen P, Wu Z, et al. Plasma Proteomic Profiling Reveals ITGA2B as A Key Regulator of Heart Health in High-altitude Settlers. Genomics Proteomics Bioinformatics. Published online April 8, 2025. doi:10.1093/gpbjnl/qzaf030