您好,欢迎来到青莲百奥!

Nature子刊|腰痛与乳酸直接相关!陆军军医大学李长青/陈林团队发现:乳酸化是椎间盘退变的关键“开关”

椎间盘退变(IVDD)是导致腰痛和残疾的主要原因,全球患者超4亿。现有临床治疗(保守或手术)只能缓解症状,无法阻止疾病进展。椎间盘作为人体最大无血管组织,髓核(NP)处于缺氧低营养微环境退变时乳酸大量堆积(浓度超血浆 10 倍)是核心特征乳酸可介导蛋白质赖氨酸乳酸化(新型翻译后修饰),调控肿瘤、纤维化、炎症等病理过程,但乳酸化在 IVDD 中的全景图谱、关键靶点及作用机制完全未知。

2026年2月28日,陆军军医大学李长青教授团队在子刊《Nat Commun》(IF:15.7)发表文章“ SOD1 lactylation impair its enzymatic activity by conformational change to aggravate intervertebral disc degeneration”。该研究依托乳酸化蛋白质组、代谢组与单细胞测序多组学技术,系统描绘了IVDD中的乳酸化修饰图谱,筛选并锁定椎间盘退变中关键的 SOD1 K123 位点乳酸化修饰,验证了SOD1 K123 乳酸化通过构象改变损害酶活,激活 p53 通路诱发髓核细胞衰老与退变的机制。在此基础上,通过虚拟筛选获得靶向小分子ZL-01,并构建了髓核细胞靶向递送系统,最终形成覆盖乳酸化修饰→关键靶点→分子机制→药物干预→递送策略的完整研究链条的完整研究链条。

1776327987882244.png

研究亮点

1.首次揭示IVDD中乳酸化修饰的全景图:系统描绘了退变髓核组织中蛋白乳酸化谱,并发现其与氧化应激密切相关。

2.发现并验证SOD1 K123la这一关键致病修饰:阐明了SOD1 K123la-p53轴在IVDD中的新机制:连接了乳酸代谢、氧化还原稳态和细胞衰老/凋亡通路。

3.开发有转化潜力的治疗策略:通过虚拟筛选获得首个靶向SOD1 K123la的小分子抑制剂ZL-01,并利用II型胶原靶向肽修饰的EVs实现了药物在髓核的滞留和递送,有效缓解IVDD。

研究结果

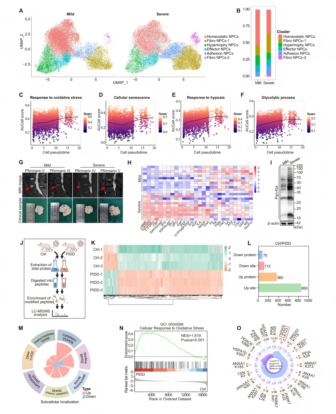
1. IVDD中乳酸积累驱动蛋白乳酸化,且与髓核细胞氧化损伤高度关联

研究者首先分析了人退变髓核组织的单细胞测序数据,发现重度退变患者中纤维化髓核细胞亚群增多。临床样本进一步证实,重度退变髓核中活性氧水平、DNA损伤及细胞衰老标志物均显著升高,且与乳酸含量呈正相关在大鼠穿刺和自然衰老诱导的椎间盘退变模型中,同样观察到乳酸积累和整体蛋白乳酸化水平升高,而乙酰化、琥珀酰化水平无明显变化。最后,通过乳酸化蛋白质组学分析,系统描绘了退变髓核中的乳酸化修饰图谱,发现差异乳酸化蛋白主要定位于细胞质,并高度富集于“细胞对氧化应激的反应”通路。

1776328011419117.png

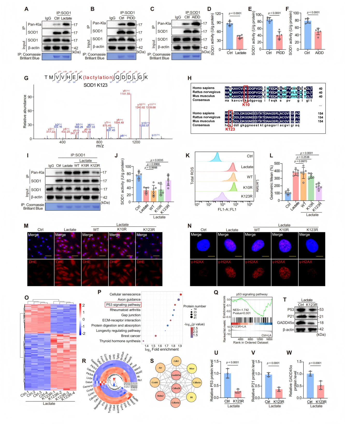
2.SOD1 K123la通过激活p53通路加剧髓核细胞氧化损伤

在多组学筛选出的氧化应激相关乳酸化蛋白中,关键抗氧化酶SOD1的乳酸化水平尤为突出。通过构建模拟去乳酸化的K123R点突变发现该突变能有效恢复SOD1酶活性、增加总抗氧化能力,并显著减轻DNA损伤和细胞衰老。转录组测序和WB结果表明,SOD1 K123la主要通过激活p53及其下游靶基因P21和GADD45a来发挥有害作用。进一步通过敲低乳酸转运体,证实胞内乳酸是导致上述效应的关键。

1776328034671091.png

3.SOD1 K123a通过改变构象抑制酶活性并在体内加剧椎间盘退变 

研究者构建了SOD1 K123R敲入大鼠模型,其椎间盘退变程度(磁共振和组织学评分)显著减轻,p53通路活性以及细胞衰老标志均明显降低,而SOD1酶活性和总抗氧化能力则得以恢复。分子动力学模拟揭示了其机制:K123位点发生乳酸化后,破坏了SOD1活性中心附近的Arg144与底物超氧阴离子及关键氨基酸之间的氢键网络,导致蛋白构象稳定性下降、与底物结合能力显著减弱。并通过免疫沉淀-质谱联用技术,鉴定出AARS1和P300是催化SOD1发生K123位点乳酸化的主要乳酰转移酶。

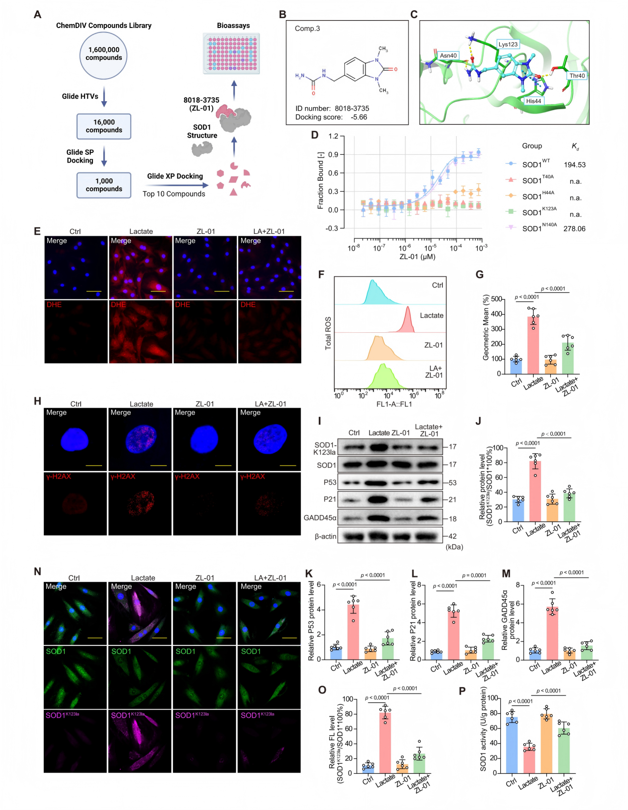
1776328060895516.png4.发现并鉴定靶向SOD1 K123a乳酸化的特异性小分子抑制剂ZL-01

随后,以SOD1蛋白的K123位点为靶点,对包含160万个小分子的化合物库进行了高通量虚拟筛选,成功获得候选化合物3,并将其命名为ZL-01。体外实验验证,ZL-01通过与SOD1蛋白的Thr40、His44、Lys123等残基特异性结合,能够有效降低乳酸处理后髓核细胞中SOD1 K123a的水平,恢复SOD1酶活性,减少活性氧产生、DNA损伤和细胞衰老,且对SOD1的乙酰化和琥珀酰化修饰无明显影响,显示较好的特异性。

1776328079793597.png

5.靶向递送ZL-01有效缓解大鼠椎间盘退变

研究者开发了一种工程化细胞外囊泡递送系统:在囊泡表面表达II型胶原靶向肽,使其能主动靶向髓核组织,并将ZL-01装载其中(C-EVsZ)。在椎间盘退变大鼠模型中,局部注射C-EVsZ不仅显著改善了磁共振和组织学退变评分,而且有效降低了髓核组织中SOD1 K123a水平,恢复了SOD1酶活性,抑制了p53通路,并减少了氧化损伤和细胞衰老,且未观察到明显的全身毒性

1776328100188851.png

研究结论与意义

该研究系统揭示了椎间盘退变中乳酸化修饰的关键致病作用,阐明了SOD1在K123位点的乳酸化通过改变蛋白构象、抑制其酶活性并激活p53通路,从而加剧髓核细胞氧化损伤和椎间盘退变的核心机制。同时,所开发的特异性小分子抑制剂ZL-01及其靶向递送系统,为椎间盘退变的疾病修饰治疗提供了极具临床转化潜力的新策略。

1776328120136521.png

青莲百奥修饰组学解决方案

青莲百奥修饰蛋白组学产品线升级,不仅精心打磨了经典修饰产品线(如磷酸化、糖基化、泛素化等),同时开拓了一系列新型修饰产品线(如乳酸化、棕榈酰化、琥珀酰化、氧化还原等)。现凭借先进的高分辨率、高灵敏度质谱技术,积累了丰富的修饰组学研究经验,提供深入的生物信息学分析报告,为科研工作的深入探索和成果的有效转化提供强有力的支持。

未命名.jpg

联系我们
  • 电话:010-53395839
  • 邮箱:service@qinglianbio.com
  • 地址:北京市海淀永捷南路2号院1号楼
    中关村科学城·乡创中心

@2024北京青莲百奥生物科技有限公司 京ICP备17052224号

留言
您好,现在客服不在线,请留言。
如果没有留下您的联系方式,客服将无法和您联系!
留下以下信息,方便与您及时联系