糖酵解是生物界高度保守的代谢途径,葡萄糖最终分解为丙酮酸,丙酮酸经典功能为参与能量代谢(有氧进入 TCA 循环、无氧生成乳酸)和生物合成,但其非代谢功能此前未被探索;丙酮酸激酶 M2(PKM2)作为糖酵解关键酶,催化磷酸烯醇式丙酮酸生成丙酮酸,调控糖酵解通量。
此前发现糖酵解代谢物乳酸可介导蛋白质乳酸化修饰,参与 DNA 修复、天然免疫、肿瘤发生等过程;丙酮酸仅被发现可修饰细菌 / 藻类 / 酵母的糖分子(糖丙酮酸化),人体蛋白质是否存在丙酮酸化修饰及生物学意义未知。临床发现高血糖(如糖尿病)会增加新冠等病毒感染的重症率和死亡率,但高血糖削弱抗病毒免疫的分子机制尚未明确。基于以上空白,研究团队围绕丙酮酸的非代谢功能、蛋白质丙酮酸化修饰、高血糖对 I型干扰素(IFN-I) 信号的调控展开研究。
2026 年2月27日,成都电子科技大学郑慧教授团队在顶刊《Cell》(IF:42.5)发表文章“ Pyruvate is a natural suppressor of interferon signaling by inducing STAT1 protein pyruvylation”。该研究首次发现蛋白质丙酮酸化(protein pyruvylation) 这一新型翻译后修饰,揭示了糖酵解终产物丙酮酸的非代谢功能 —— 作为 I 型干扰素(IFN-I)信号通路的天然抑制因子,通过介导 STAT1 的 Lys201 位点丙酮酸化,阻断 STAT1-STAT2 相互作用,进而抑制抗病毒天然免疫,同时阐明了高血糖削弱机体抗病毒免疫的分子机制,为高血糖人群的抗病毒治疗提供了新靶点和新思路。北京青莲百奥生物科技有限公司提供了翻译后修饰鉴定服务。


研究亮点速递
发现新型蛋白质翻译后修饰:首次鉴定蛋白质丙酮酸化为人体中存在的新型翻译后修饰,拓展了丙酮酸的功能范畴(从代谢物到蛋白质修饰分子),也丰富了翻译后修饰的类型。
揭示丙酮酸的非代谢功能:突破丙酮酸仅参与能量代谢和生物合成的经典认知,发现其作为 IFN-I 信号通路的天然抑制因子,介导免疫信号调控。
阐明高血糖削弱抗病毒免疫的分子机制:首次建立高血糖 - 糖酵解增强 - 丙酮酸积累 - STAT1-K201 丙酮酸化 - IFN-I 信号抑制 - 抗病毒免疫减弱的分子调控轴,解释了高血糖人群病毒感染易感性增加的核心机制。
提供抗病毒治疗新靶点:明确 STAT1-K201 丙酮酸化是调控 IFN-I 抗病毒免疫的关键靶点,为高血糖 / 糖尿病人群的抗病毒治疗(如优化 IFN-I 疗法)提供了新的干预方向。
研究结果
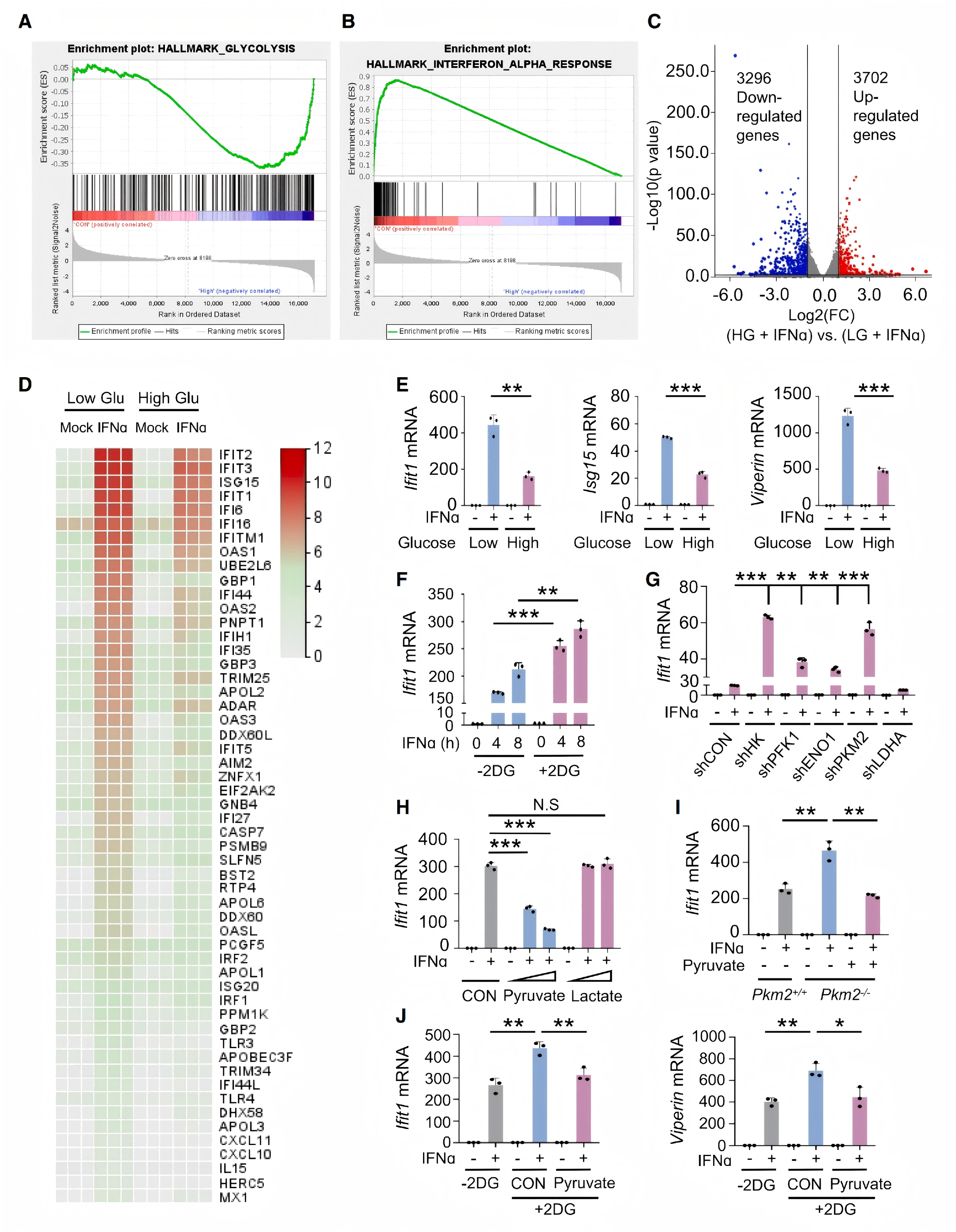
1. PKM2 和丙酮酸显著抑制 IFN-I 信号通路的激活
高血糖 / 高糖通过糖酵解抑制 IFN-I 信号:高糖通过激活糖酵解抑制 IFN-I 诱导的干扰素刺激基因(ISGs) 表达,糖酵解抑制剂 2DG 可逆转该效应;敲低 PKM2 等糖酵解关键酶促进 ISGs 表达,而乳酸无此作用,提示丙酮酸是核心调控分子。
丙酮酸是抑制 IFN-I 信号的核心分子:外源性补充丙酮酸可剂量依赖性下调 ISGs 表达,而乳酸无此效应;线粒体丙酮酸转运抑制剂 UK-5099(增加胞质丙酮酸)也抑制 ISGs 表达;丙酮酸可逆转 PKM2 缺陷介导的 ISGs 上调,即使糖酵解被 2DG 抑制,丙酮酸仍能抑制 IFN-I 信号,直接证明丙酮酸是糖酵解调控 IFN-I 信号的核心效应分子。

2. STAT1 是丙酮酸化修饰的靶蛋白,修饰位点为 Lys201(K201)
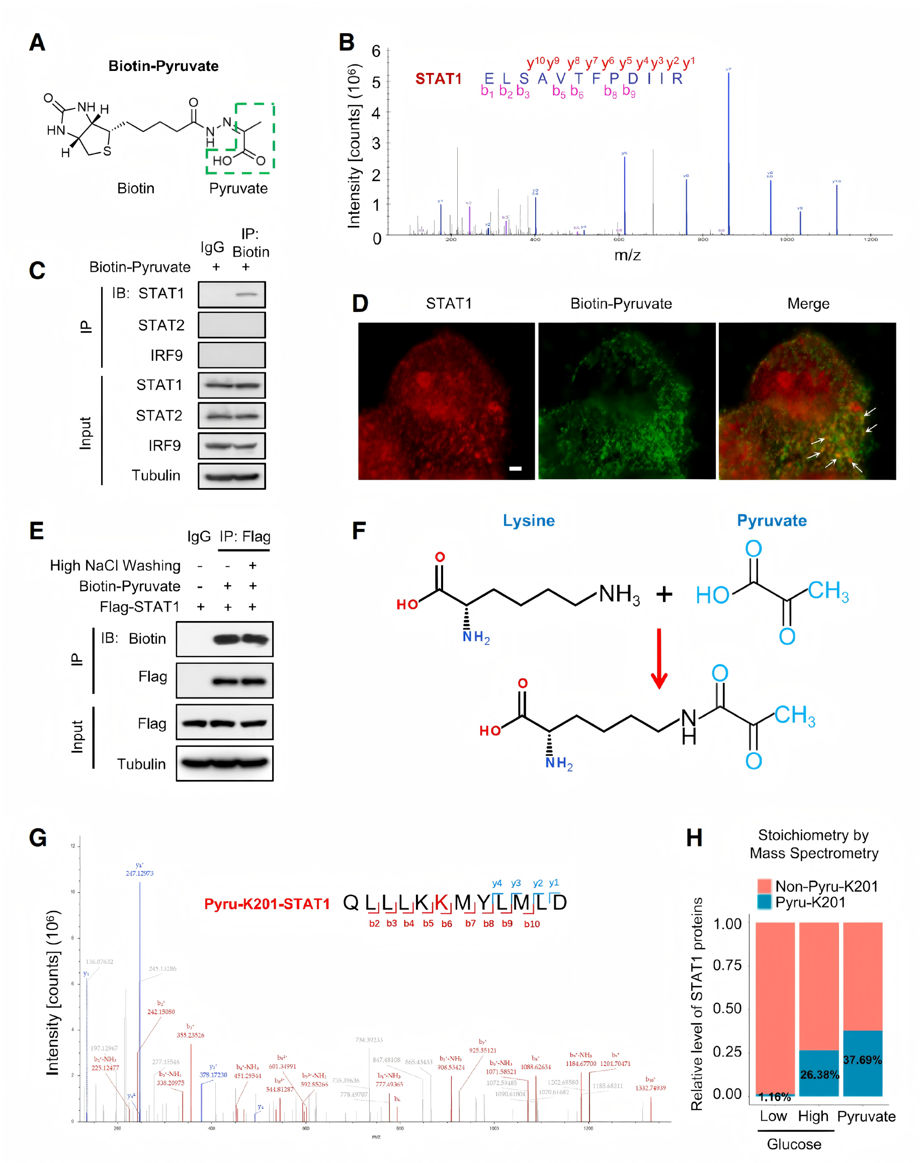
丙酮酸与 STAT1 的特异性结合:生物素标记丙酮酸结合质谱分析显示,丙酮酸与 STAT1 特异性共价结合,不结合 STAT2、IRF9 等 IFN-I 通路分子。
STAT1 的丙酮酸化修饰鉴定:质谱鉴定 STAT1 的 Lys201 位点存在丙酮酸化修饰,高糖可使修饰比例从 1% 升至 30%;合成修饰多肽与体内修饰多肽的 HPLC 和 MS/MS 特征一致,K201R 突变可阻断修饰,特异性抗体进一步验证了该修饰的位点专一性。

3. STAT1-K201 丙酮酸化由 PKM2 和丙酮酸调控,且在体内广泛存在
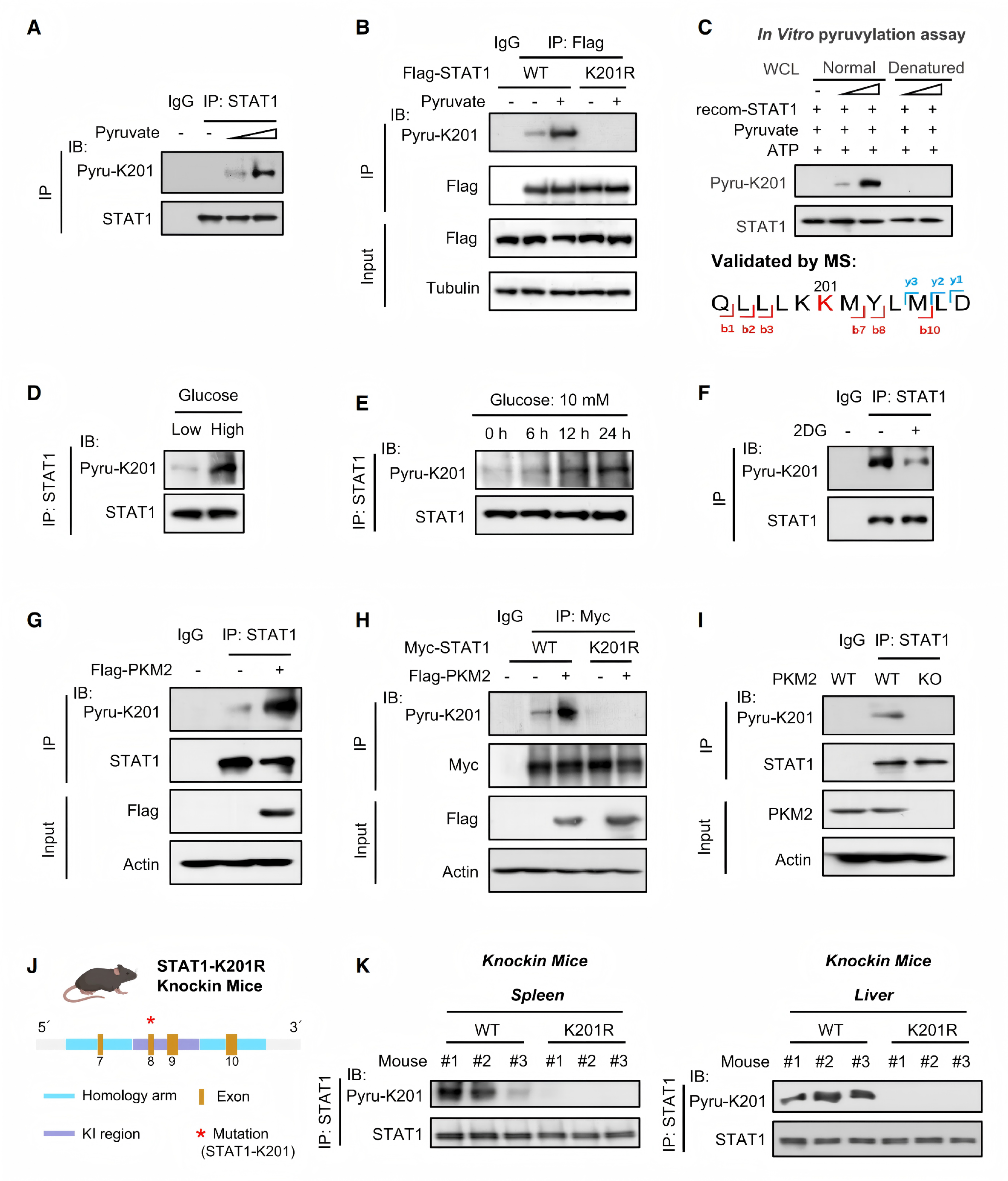
丙酮酸对 STAT1-K201 丙酮酸化的剂量依赖调控:进一步研究表明外源性丙酮酸可剂量依赖性上调内源性 / 外源性 STAT1 的 K201 丙酮酸化,且体外实验证明重组 STAT1 可被丙酮酸直接修饰。高糖可时间 / 剂量依赖性促进多种细胞的 STAT1-K201 丙酮酸化,而高甘露醇(排除高渗效应)无此作用,2DG(糖酵解抑制剂)则显著抑制该修饰。
体内 STAT1-K201 丙酮酸化的验证:PKM2 过表达显著上调 STAT1-K201 丙酮酸化,K201R 突变可阻断该效应,PKM1 在骨骼肌细胞中具有类似作用。此外,构建 STAT1-K201R 敲入小鼠,发现野生型(WT)小鼠的脾、肝等多种组织中 STAT1 均存在 K201 丙酮酸化,而 K201R 敲入小鼠中该修饰完全消失,证明 STAT1-K201 丙酮酸化在体内天然存在且位点特异性。

4. STAT1-K201 丙酮酸化通过阻断 STAT1-STAT2 相互作用抑制 IFN-I 信号和抗病毒活性
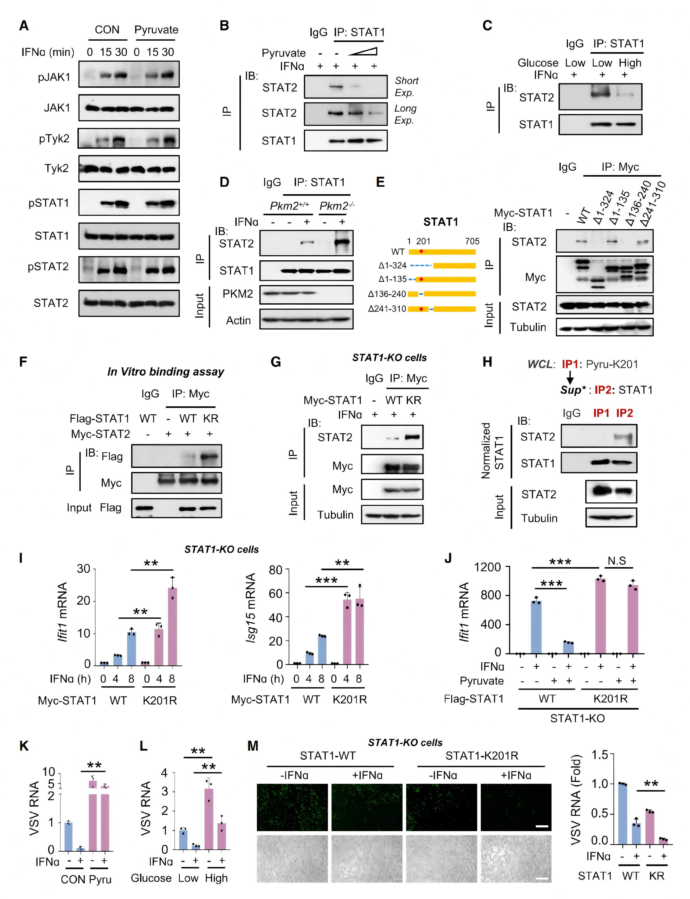
丙酮酸不影响 IFN-I 信号的上游激活:进一步发现,丙酮酸不改变 IFNAR1/2 的蛋白水平,也不影响 IFN-I 诱导的 JAK1、Tyk2、STAT1、STAT2 的磷酸化,提示其作用靶点为STAT1-STAT2 的相互作用阶段。
STAT1-K201 是 STAT2 结合的关键位点:根据截短体验证实验表明STAT1 的 136-240 氨基酸区域是 STAT2 结合关键区域,K201 位于该区域,K201R 突变可增强 STAT1-STAT2 结合。且阻断丙酮酸 / PKM2 介导的抑制作用;丙酮酸化的 STAT1 无法与 STAT2 结合,K201R 突变细胞的 ISGs 表达和抗病毒活性显著增强。

5.体内实验验证:STAT1-K201 丙酮酸化抑制宿主 IFN-I 抗病毒天然免疫
外源性丙酮酸削弱小鼠抗病毒免疫:给小鼠腹腔注射丙酮酸,可显著促进体内 STAT1-K201 丙酮酸化,抑制 VSV/SeV 病毒感染后 ISGs 的表达,增加病毒载量,加重病毒感染症状。
STAT1-K201R 敲入小鼠的抗病毒能力显著提升:STAT1-K201R 敲入小鼠的 STAT1-STAT2 结合能力更强,IFN-β 刺激或病毒感染后 ISGs 表达显著高于 WT 小鼠,病毒载量更低、炎症反应更轻、死亡率更低,证明阻断该修饰可增强体内抗病毒免疫。

6.人体样本验证:高血糖通过促进 STAT1-K201 丙酮酸化削弱人体 IFN-I 抗病毒免疫
高血糖人群的丙酮酸水平和 STAT1 丙酮酸化升高:收集血糖正常组(NG,≤6.1 mmol/L)和高血糖组(HG,>10.0 mmol/L)人群的血浆和 PBMCs,发现 HG 组的血清丙酮酸、PBMCs 内丙酮酸水平显著升高,且 PBMCs 中 STAT1-K201 丙酮酸化修饰显著增强,STAT1-STAT2 相互作用显著减弱;
高血糖人群的抗病毒免疫能力减弱:HG 组 PBMCs 感染 VSV 后,ISGs 表达显著降低,病毒载量显著升高,证明高血糖可削弱人体的 IFN-I 抗病毒免疫;
短期高糖不影响 STAT1 丙酮酸化:餐后 1 小时的短期高糖刺激未显著增加 STAT1-K201 丙酮酸化,提示该修饰的调控依赖持续性高血糖。

研究结论
本研究首次发现蛋白质丙酮酸化这一新型翻译后修饰,证实糖酵解终产物丙酮酸可介导 STAT1 的 Lys201 位点丙酮酸化;高血糖通过增强糖酵解提升丙酮酸水平,促进该修饰并阻断 STAT1-STAT2 相互作用,进而抑制 I 型干扰素信号通路及抗病毒免疫,且 STAT1-K201R 突变可逆转该效应,该机制在细胞、小鼠及人体样本中均得到验证。
研究意义
科学层面,本研究拓展了翻译后修饰类型与丙酮酸的非代谢功能,建立了代谢与天然免疫的新关联,丰富了 I 型干扰素信号的调控网络;临床层面,揭示了高血糖人群病毒易感性增加的分子机制,为优化 I 型干扰素临床疗效、开发针对 STAT1 丙酮酸化的抗病毒药物提供了新靶点与思路,对高血糖 / 糖尿病人群的抗病毒治疗具有重要转化价值。
青莲百奥修饰组学解决方案
青莲百奥修饰蛋白组学产品线升级,不仅精心打磨了经典修饰产品线(如磷酸化、糖基化、泛素化等),同时开拓了一系列新型修饰产品线(如乳酸化、棕榈酰化、琥珀酰化、氧化还原等)。现凭借先进的高分辨率、高灵敏度质谱技术,积累了丰富的修饰组学研究经验,提供深入的生物信息学分析报告,为科研工作的深入探索和成果的有效转化提供强有力的支持。
